ابتكار مجهر لرؤية خلايا سرطانية بحجم جزء من 100 من المليمتر
نيسان ـ نشر في 2022-10-31 الساعة 09:20
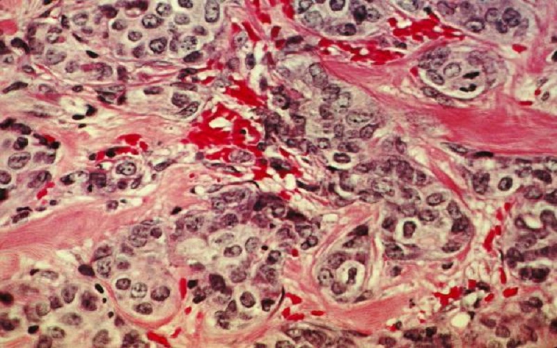
نيسان ـ تمكَّن علماء من ابتكار مجهر لرؤية خلايا سرطانية بحجم جزء من 100 من المليمتر.
وأوضح العلماء، الذين ينتمون إلى جامعة «إمبريال» في لندن، أن المجهر الجديد من شأنه أن يسرع علاج سرطان الثدي، حسبما أفاد موقع «الشرق الأوسط» نقلاً عن صحيفة «إندبندنت» البريطانية.
وذكروا أن قطر المجهر يبلغ أقل من 1 مم، أي نحو عرض 25 شعرة بشرية، ويمكن تحريكه في مساحات صغيرة داخل الجسم أثناء الجراحة، وهو مصمم لتقديم رؤية واضحة للجراحين عن الأنسجة والأعضاء.
وقال الفريق إن الجهاز كان قادراً على إنتاج صور من داخل الأنسجة «بسرعة غير مسبوقة».
وهذا المجهر، الذي طوره الدكتور خوشي فياس وزملاؤه في الجامعة، سيساعد الجراحين على تحديد الخلايا السرطانية التي يبلغ حجمها جزء من مئة من المليمتر بمعدل أسرع بكثير من الطرق التقليدية.
وفسَّر الفريق أن ذلك سيساعد على تقليل الحاجة إلى عمليات المتابعة لإزالة الخلايا السرطانية التي لم يتم كشفها في السابق.
وسيساعد المجهر أيضاً أثناء الجراحة في الحفاظ على الثدي، حيث سيتمكن الجراح من استئصال السرطان مع ترك أكبر قدر ممكن من الثدي الطبيعي.
وأكد المطورون أن استخدام الجهاز سيساعد الجراحين على تحديد الأنسجة المشبوهة حول الأورام بسرعة وبدقة كبيرة، حيث يحدث المجهر الداخلي ما يصل إلى 120 لقطة في الثانية.
ويتم دعم تطوير الجهاز من قبل مجلس أبحاث الهندسة والعلوم الفيزيائية، وهو جزء من البحث والابتكار في المملكة المتحدة.
وقال الدكتور كيدار بانديا، مدير البرامج المشتركة في المجلس: «من خلال تقليل الوقت المستغرق للتعرف إلى الخلايا السرطانية وتحسين دقة التصوير، يمكن أن يفيد المجهر الداخلي الذي طوره الدكتور فياس وفريقه المرضى ويقلل أيضاً من قوائم الانتظار».
وأوضح الدكتور خوشي فياس أن «هدفنا هو المضي قدماً في التجارب السريرية، بهدف أن يصبح النظام متاحاً للنشر في غضون خمس سنوات تقريباً».
واستخدم الباحثون نظامهم لإجراء دراسات أولية على الأنسجة السرطانية البشرية ويقومون باختبار استخدامه من قبل الجراحين واختصاصيي علم الأمراض على عينات معملية من الأنسجة السرطانية.
وأوضح العلماء، الذين ينتمون إلى جامعة «إمبريال» في لندن، أن المجهر الجديد من شأنه أن يسرع علاج سرطان الثدي، حسبما أفاد موقع «الشرق الأوسط» نقلاً عن صحيفة «إندبندنت» البريطانية.
وذكروا أن قطر المجهر يبلغ أقل من 1 مم، أي نحو عرض 25 شعرة بشرية، ويمكن تحريكه في مساحات صغيرة داخل الجسم أثناء الجراحة، وهو مصمم لتقديم رؤية واضحة للجراحين عن الأنسجة والأعضاء.
وقال الفريق إن الجهاز كان قادراً على إنتاج صور من داخل الأنسجة «بسرعة غير مسبوقة».
وهذا المجهر، الذي طوره الدكتور خوشي فياس وزملاؤه في الجامعة، سيساعد الجراحين على تحديد الخلايا السرطانية التي يبلغ حجمها جزء من مئة من المليمتر بمعدل أسرع بكثير من الطرق التقليدية.
وفسَّر الفريق أن ذلك سيساعد على تقليل الحاجة إلى عمليات المتابعة لإزالة الخلايا السرطانية التي لم يتم كشفها في السابق.
وسيساعد المجهر أيضاً أثناء الجراحة في الحفاظ على الثدي، حيث سيتمكن الجراح من استئصال السرطان مع ترك أكبر قدر ممكن من الثدي الطبيعي.
وأكد المطورون أن استخدام الجهاز سيساعد الجراحين على تحديد الأنسجة المشبوهة حول الأورام بسرعة وبدقة كبيرة، حيث يحدث المجهر الداخلي ما يصل إلى 120 لقطة في الثانية.
ويتم دعم تطوير الجهاز من قبل مجلس أبحاث الهندسة والعلوم الفيزيائية، وهو جزء من البحث والابتكار في المملكة المتحدة.
وقال الدكتور كيدار بانديا، مدير البرامج المشتركة في المجلس: «من خلال تقليل الوقت المستغرق للتعرف إلى الخلايا السرطانية وتحسين دقة التصوير، يمكن أن يفيد المجهر الداخلي الذي طوره الدكتور فياس وفريقه المرضى ويقلل أيضاً من قوائم الانتظار».
وأوضح الدكتور خوشي فياس أن «هدفنا هو المضي قدماً في التجارب السريرية، بهدف أن يصبح النظام متاحاً للنشر في غضون خمس سنوات تقريباً».
واستخدم الباحثون نظامهم لإجراء دراسات أولية على الأنسجة السرطانية البشرية ويقومون باختبار استخدامه من قبل الجراحين واختصاصيي علم الأمراض على عينات معملية من الأنسجة السرطانية.


