اسعاف طفل ابتلع 'بريزة' في عمان
نيسان ـ نشر في 2023-01-15 الساعة 18:39
تعبيرية
نيسان ـ خاص
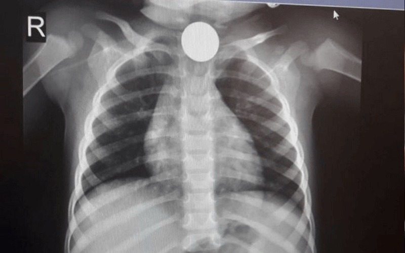
اسعف إلى مستشفى البشير مساء اليوم طفل يبلغ من العمر (4 سنوات) بعد تعرضه للاختناق.
وحسب مصادر طبية لصحيفة نيسان فإن الطفل ابتلع قطعة معدنية "بريزة" تسببت له بالاختناق، خلال تواجده في منزل ذويه في منطقة عين الباشا.
اسعف إلى مستشفى البشير مساء اليوم طفل يبلغ من العمر (4 سنوات) بعد تعرضه للاختناق.
وحسب مصادر طبية لصحيفة نيسان فإن الطفل ابتلع قطعة معدنية "بريزة" تسببت له بالاختناق، خلال تواجده في منزل ذويه في منطقة عين الباشا.


