اتصل بنا
 

علماء: تصوير واحد بالرنين المغناطيسي يكشف مدى سرعة تقدمك بالسن

نيسان ـ نشر في 2025-08-09 الساعة 19:12

علماء: تصوير واحد بالرنين المغناطيسي يكشف
نيسان ـ يزعم باحثون في دراسة جديدة أنه أصبح بإمكان العلماء الآن تحديد سرعة شيخوخة الجسم بناءً على صورة واحدة للدماغ، وفقًا لما ورد في تقرير نشره موقع "Live Science" نقلًا عن دورية "Nature Aging".
الشيخوخة البيولوجية
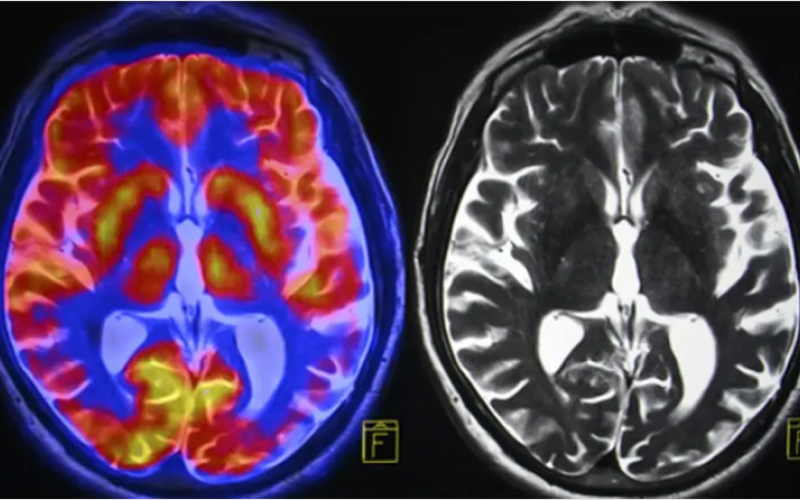
طوّر فريق من الباحثين معيارًا للشيخوخة البيولوجية يعتمد على تصوير الدماغ بالرنين المغناطيسي. ويقول فريق الباحثين إن هذه الأداة قادرة على التنبؤ بمخاطر إصابة الفرد المستقبلية بضعف الإدراك والخرف والأمراض المزمنة، مثل أمراض القلب والضعف البدني والوفاة المبكرة.
وقال الباحث الرئيسي، أحمد الحريري، أستاذ علم النفس وعلم الأعصاب في جامعة ديوك: "تقدم الورقة البحثية طريقة جديدة لقياس سرعة شيخوخة الشخص في أية لحظة باستخدام المعلومات المتوفرة في تصوير واحد بالرنين المغناطيسي للدماغ"، موضحًا أن "التقدم في السن بشكل أسرع يزيد من خطر الإصابة بالعديد من الأمراض، بما يشمل داء السكري وأمراض القلب والسكتة الدماغية والخرف".
دراسة دنيدن
استخدم الحريري وزملاؤه بيانات من دراسة دنيدن، التي تابعت 1037 شخصًا من دنيدن في نيوزيلاندا، منذ الولادة وحتى منتصف العمر. خضع هؤلاء المشاركون، المولودون بين عامي 1972 و1973، لـ 19 تقييمًا دوريًا للتحقق من وظائف القلب والدماغ والكبد والكلى وغيرها.
نسبة المادة البيضاء إلى الرمادية
لتطوير أداتهم، حلل الفريق صور الرنين المغناطيسي للدماغ المأخوذة من هذه المجموعة في سن 45 عامًا، وعالجوا البيانات المتعلقة ببنية الدماغ - حجم وسمك مناطق الدماغ المختلفة ونسبة المادة البيضاء إلى المادة الرمادية - من خلال خوارزمية تعلم آلي.
الشيخوخة المحسوبة من التصوير العصبي
قارن الباحثون بيانات الدماغ المعالجة ببيانات أخرى جُمعت من المشاركين في الوقت نفسه، مثل اختبارات التدهور البدني والإدراكي والحالات الصحية الذاتية وعلامات شيخوخة الوجه، مثل التجاعيد. أكد الباحثون أن التراجعات الأكبر في تلك المناطق مرتبطة بوتيرة أسرع للشيخوخة بشكل عام، ثم ربطوا خصائص بيانات الدماغ بتلك المقاييس. أطلق الباحثون على نموذجهم الناتج اسم "سرعة دنيدن للشيخوخة المحسوبة من التصوير العصبي".
جزيئات الحمض النووي
في السابق، ابتكر فريق الباحثين أداة مماثلة تسمى DunedinPACE (سرعة دنيدن للشيخوخة المحسوبة من الإبيجينوم). ركز هذا المقياس على الميثلة - وهي علامات كيمياوية ترتبط بجزيئات الحمض النووي - في عينات الدم لتقدير وتيرة شيخوخة الأشخاص. تعد الميثلة نوعًا من "التغيرات فوق الجينية"، أي أنها تُغير نشاط الجينات دون تغيير الشفرة الأساسية للحمض النووي.
بيانات فوق جينية
وقال الحريري: "لقد تم اعتماد DunedinPACE على نطاق واسع في الدراسات التي توفرت فيها بيانات فوق جينية"، شارحًا أن " DunedinPACNI يسمح الآن بإجراء دراسات بدون بيانات فوق جينية ولكن باستخدام تصوير الدماغ بالرنين المغناطيسي لقياس الشيخوخة المتسارعة". قارن الباحثون DunedinPACNI مباشرةً بـDunedinPACE، واكتشفوا أنهما توصلا إلى نتائج متشابهة.
لمعرفة ما إذا كانت أداتهم الجديدة مفيدة خارج نطاق دنيدن، استخدمها الباحثون لتقدير وتيرة الشيخوخة باستخدام صور الرنين المغناطيسي في مجموعات بيانات أخرى، من بينها 42,000 صورة بالرنين المغناطيسي من البنك الحيوي البريطاني؛ وأكثر من 1,700 صورة بالرنين المغناطيسي من مبادرة التصوير العصبي لمرض الزهايمر (ADNI)؛ و369 صورة من مجموعة BrainLat، التي تتضمن بيانات من خمس دول في أميركا الجنوبية.
أبحاث تصوير الدماغ
صرح إيثان ويتمان، الباحث المشارك في الدراسة من جامعة ديوك، قائلًا "إن ضمان تعميم نتائج [الدراسة] على مجموعات البيانات والفئات الديموغرافية يمثل أولوية قصوى لأبحاث تصوير الدماغ".
الشيخوخة والأمراض المزمنة
توصل الباحثون إلى أن مبادرة دنيدن PACNI يمكنها أيضًا تقدير معدل الشيخوخة في هذه الفئات الأخرى، وأنها فعلت ذلك بدقة مقاييس أخرى استُخدمت سابقًا. يتضمن كلٌ من البنك الحيوي البريطاني ومؤشر ADNI أيضًا مقاييس للآثار الصحية المحددة للشيخوخة، بما يشمل اختبارات الوهن البدني، مثل قوة القبضة وسرعة المشي، بالإضافة إلى معدلات الإصابة بالنوبات القلبية والسكتات الدماغية ومرض الانسداد الرئوي المزمن والوفاة من جميع الأسباب ضمن الفئات العمرية. باستخدام هذه المقاييس الإضافية، تمكن الفريق من ربط معدلات الشيخوخة الأسرع، كما هو مُحدد باستخدام DunedinPACNI، بزيادة مخاطر الإصابة بالنوبات القلبية والسكتات الدماغية ومرض الانسداد الرئوي المزمن والوفاة.
"فوز كبير للباحثين"
وقال دكتور دان هندرسون، طبيب الرعاية الأولية في مستشفى بريغهام أند وومنز وأستاذ الطب في كلية الطب بجامعة هارفرد والذي لم يشارك في الدراسة: "إن نجاحه مع بيانات BrainLat يُعدّ فوزًا كبيرًا للباحثين لأنه يدعم إمكانية تعميم النموذج"، مضيفًا أنه "لا يزال من المفيد دراسة مجموعات بيانات أخرى يمكن أن تختلف فيها العوامل الوراثية وغيرها اختلافًا جوهريًا".
وقال هندرسون إنه يرى إمكانية استخدام قاعدة بيانات دنيدن للتحليلات السريرية PACNI في نهاية المطاف بدلًا من المقاييس الصحية التقليدية لتحسين التدخلات الطبية لكل مريض على حدة.

نيسان ـ نشر في 2025-08-09 الساعة 19:12

الكلمات الأكثر بحثاً