علاج جراحي جديد يقي العيون من اضطراب 'ماكتيل'
نيسان ـ نشر في 2025-08-11 الساعة 12:55
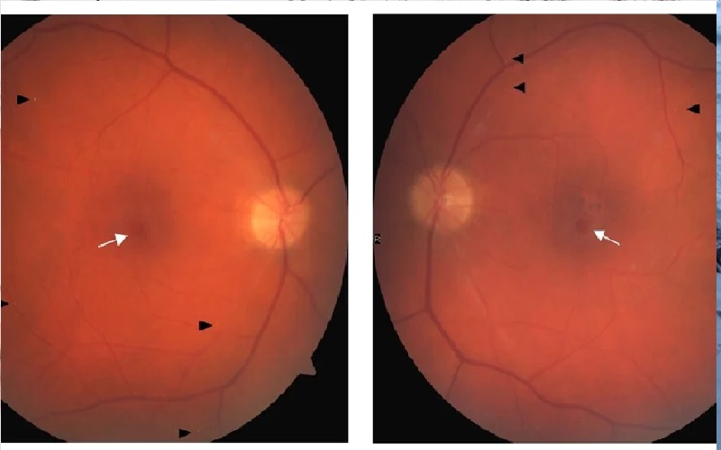
نيسان ـ قدمت دراسة جديدة أدلة دامغة على إمكانية نجاح زراعة جراحية وقائية للأعصاب في إبطاء فقدان البصر الذي يسببه توسع الشعيرات البقعي من النوع الثاني (ماكتيل)، وهو اضطراب لم تتوفر له خيارات علاجية معتمدة.
وقاد الأبحاث في هذه الدراسة باحثون في مركز سكريبس للأبحاث والمعاهد الوطنية للصحة بالولايات المتحدة، بالتعاون مع شركة نيوروتك للأدوية، ومعهد لوي للأبحاث الطبية.
إعادة تعريف مفهوم فقدان البصر
وقال الدكتور مارتن فريدلاندر من مركز سكريبس للأبحاث: "هذه خطوة نحو إعادة تعريف مفهوم فقدان البصر. فبدلاً من انتظار موت الخلايا، نتعلم كيفية حمايتها والحفاظ عليها".
أمضى فريدلاندر، وهو أيضاً رئيس معهد لوي للأبحاث الطبية، ما يقرب من عقدين من الزمن في دراسة اضطراب ماكتيل، وساهم في إرساء الأساس البيولوجي لجهاز إنسيلتو ENCELTO، الذي يوفر عامل التغذية العصبية الهدبي (CNTF)، وهو بروتين طبيعي معروف بحماية الخلايا العصبية الشبكية.
وبحسب "مديكال إكسبريس"، يتكون إنسيلتو أيضاً من خلايا ظهارية صبغية شبكية معدلة وراثياً - تساعد على تغذية ودعم الشبكية - موضوعة في كبسولة صغيرة مصنوعة من الكولاجين، تُزرع في الجزء الخلفي من العين.
وبفضل تصميم الكبسولة، تبقى الخلايا محمية من الرفض المناعي مع إطلاق بروتين CNTF باستمرار - ما يتيح توصيلًا موضعياً طويل الأمد للجزيء العلاجي.
تقنية إنسيلتو
وكشفت التجارب أن تقنية إنسيلتو أبطأت بشكل ملحوظ فقدان المستقبلات الضوئية - وهي خلايا عصبية حساسة للضوء ضرورية للرؤية المركزية - مقارنةً بالعيون التي خضعت لإجراء محاكاة دون تلقي علاج فعلي.
وفي إحدى التجارب، أدت الغرسة إلى انخفاض بنسبة 54.8% في معدل فقدان المنطقة الإهليلجية، وهو تغيير قابل للقياس في بنية الشبكية يشير إلى انحلال الخلايا المستقبلة للضوء.
وأظهرت التجربة الثانية انخفاضاً بنسبة 30.6% في نفس المقياس، وهو لا يزال ذا دلالة إحصائية، وإن كان أقل في حجمه.
وقاد الأبحاث في هذه الدراسة باحثون في مركز سكريبس للأبحاث والمعاهد الوطنية للصحة بالولايات المتحدة، بالتعاون مع شركة نيوروتك للأدوية، ومعهد لوي للأبحاث الطبية.
إعادة تعريف مفهوم فقدان البصر
وقال الدكتور مارتن فريدلاندر من مركز سكريبس للأبحاث: "هذه خطوة نحو إعادة تعريف مفهوم فقدان البصر. فبدلاً من انتظار موت الخلايا، نتعلم كيفية حمايتها والحفاظ عليها".
أمضى فريدلاندر، وهو أيضاً رئيس معهد لوي للأبحاث الطبية، ما يقرب من عقدين من الزمن في دراسة اضطراب ماكتيل، وساهم في إرساء الأساس البيولوجي لجهاز إنسيلتو ENCELTO، الذي يوفر عامل التغذية العصبية الهدبي (CNTF)، وهو بروتين طبيعي معروف بحماية الخلايا العصبية الشبكية.
وبحسب "مديكال إكسبريس"، يتكون إنسيلتو أيضاً من خلايا ظهارية صبغية شبكية معدلة وراثياً - تساعد على تغذية ودعم الشبكية - موضوعة في كبسولة صغيرة مصنوعة من الكولاجين، تُزرع في الجزء الخلفي من العين.
وبفضل تصميم الكبسولة، تبقى الخلايا محمية من الرفض المناعي مع إطلاق بروتين CNTF باستمرار - ما يتيح توصيلًا موضعياً طويل الأمد للجزيء العلاجي.
تقنية إنسيلتو
وكشفت التجارب أن تقنية إنسيلتو أبطأت بشكل ملحوظ فقدان المستقبلات الضوئية - وهي خلايا عصبية حساسة للضوء ضرورية للرؤية المركزية - مقارنةً بالعيون التي خضعت لإجراء محاكاة دون تلقي علاج فعلي.
وفي إحدى التجارب، أدت الغرسة إلى انخفاض بنسبة 54.8% في معدل فقدان المنطقة الإهليلجية، وهو تغيير قابل للقياس في بنية الشبكية يشير إلى انحلال الخلايا المستقبلة للضوء.
وأظهرت التجربة الثانية انخفاضاً بنسبة 30.6% في نفس المقياس، وهو لا يزال ذا دلالة إحصائية، وإن كان أقل في حجمه.


