دراسة صادمة .. القلق والدوار يرتبطان بأورام الدماغ!
نيسان ـ نشر في 2025-10-11 الساعة 08:59
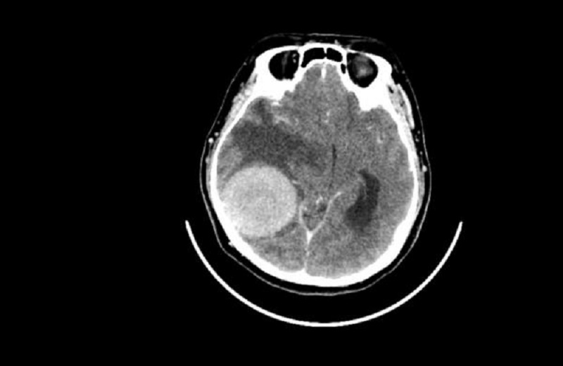
نيسان ـ توصلت دراسة حديثة إلى وجود علاقة بين القلق والدوخة من جهة، والأورام الدماغية الحميدة من جهة أخرى.
وكشفت النتائج أن القلق النفسي لا يعد مجرد عارض مرافق لهذه الأورام، بل قد يكون عاملا مسببا ومفاقما للأعراض.
ويرتبط الورم الشفاني الدهليزي، أو كما يعرف أيضا باسم ورم العصب السمعي (وهو ورم حميد يصيب العصب المسؤول عن السمع والتوازن وينمو ببطء)، عادة بأعراض مثل فقدان السمع والطنين والدوار. لكن الدراسة الجديدة تكشف أن للعوامل النفسية دورا محوريا في شدة هذه الأعراض.
وقد أظهرت الدراسة التي أجراها باحثون من جامعة واشنطن أن المرضى الذين يعانون من القلق النفسي يسجلون مستويات أعلى من الإعاقة المرتبطة بالدوار بنسبة تصل إلى 14 نقطة في المقياس المعياري للإعاقة، مقارنة بمن لا يعانون من القلق.
وهذه النتائج تثير تساؤلات عميقة حول الطبيعة المعقدة للعلاقة بين الصحة النفسية والأمراض العضوية. فالتفاعل بين القلق وأعراض الورم يخلق حلقة مفرغة، حيث يؤدي القلق إلى تفاقم الدوار، والذي بدوره يزيد من حدة القلق، ما يضع المريض في دوامة من المعاناة المتزايدة.
واللافت في هذه الدراسة أنها سلطت الضوء على جانب مهمل في التشخيص الطبي، حيث غالبا ما يغفل الأطباء تقييم شكاوى الدوار عند الاشتباه بالأورام الدماغية. كما أظهرت النتائج مفارقة عجيبة، حيث وجد الباحثون أن المرضى الذين يعانون من فقدان السمع - وهو عارض رئيسي للورم - كانوا أقل تأثرا بالدوار في حياتهم اليومية مقارنة بمن حافظوا على سمعهم.
وهذه الاكتشافات تفتح الباب أمام مقاربات علاجية جديدة، حيث يقترح الباحثون إدراج التدخلات النفسية مثل تقنيات اليقظة الذهنية وإدارة الضغط النفسي كجزء أساسي من خطة العلاج. كما تؤكد الدراسة على أهمية النظرة الشمولية للمريض، التي تراعي التداخل المعقد بين العوامل النفسية والجسدية في تشكيل التجربة المرضية.
وفي الوقت الذي ما تزال فيه الأسباب المباشرة لهذه الأورام غامضة في معظم الحالات، فإن هذه الدراسة تذكرنا بأن التعامل مع الأمراض يتطلب فهما أعمق للبعد الإنساني، حيث تتفاعل الجوانب النفسية والاجتماعية مع العوامل البيولوجية في تشكيل مسار المرض ومعاناة المريض.
ديلي ميل
وكشفت النتائج أن القلق النفسي لا يعد مجرد عارض مرافق لهذه الأورام، بل قد يكون عاملا مسببا ومفاقما للأعراض.
ويرتبط الورم الشفاني الدهليزي، أو كما يعرف أيضا باسم ورم العصب السمعي (وهو ورم حميد يصيب العصب المسؤول عن السمع والتوازن وينمو ببطء)، عادة بأعراض مثل فقدان السمع والطنين والدوار. لكن الدراسة الجديدة تكشف أن للعوامل النفسية دورا محوريا في شدة هذه الأعراض.
وقد أظهرت الدراسة التي أجراها باحثون من جامعة واشنطن أن المرضى الذين يعانون من القلق النفسي يسجلون مستويات أعلى من الإعاقة المرتبطة بالدوار بنسبة تصل إلى 14 نقطة في المقياس المعياري للإعاقة، مقارنة بمن لا يعانون من القلق.
وهذه النتائج تثير تساؤلات عميقة حول الطبيعة المعقدة للعلاقة بين الصحة النفسية والأمراض العضوية. فالتفاعل بين القلق وأعراض الورم يخلق حلقة مفرغة، حيث يؤدي القلق إلى تفاقم الدوار، والذي بدوره يزيد من حدة القلق، ما يضع المريض في دوامة من المعاناة المتزايدة.
واللافت في هذه الدراسة أنها سلطت الضوء على جانب مهمل في التشخيص الطبي، حيث غالبا ما يغفل الأطباء تقييم شكاوى الدوار عند الاشتباه بالأورام الدماغية. كما أظهرت النتائج مفارقة عجيبة، حيث وجد الباحثون أن المرضى الذين يعانون من فقدان السمع - وهو عارض رئيسي للورم - كانوا أقل تأثرا بالدوار في حياتهم اليومية مقارنة بمن حافظوا على سمعهم.
وهذه الاكتشافات تفتح الباب أمام مقاربات علاجية جديدة، حيث يقترح الباحثون إدراج التدخلات النفسية مثل تقنيات اليقظة الذهنية وإدارة الضغط النفسي كجزء أساسي من خطة العلاج. كما تؤكد الدراسة على أهمية النظرة الشمولية للمريض، التي تراعي التداخل المعقد بين العوامل النفسية والجسدية في تشكيل التجربة المرضية.
وفي الوقت الذي ما تزال فيه الأسباب المباشرة لهذه الأورام غامضة في معظم الحالات، فإن هذه الدراسة تذكرنا بأن التعامل مع الأمراض يتطلب فهما أعمق للبعد الإنساني، حيث تتفاعل الجوانب النفسية والاجتماعية مع العوامل البيولوجية في تشكيل مسار المرض ومعاناة المريض.
ديلي ميل


