ما سر سيلان الأنف عند تناول الطعام الحار؟
ما هو عصير الفاكهة الذي يحسّن الهضم وعملية الأيض؟
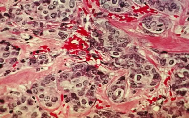
شفاء أول حالة مرضية لطفلة بالخلايا التائية في مستشفى الملكة رانيا
سرير الذكاء الاصطناعي.. يتتبع شخيرك ويوقظك صباحاً
ما الطريقة السليمة لاستخدام بخاخات الأنف؟
دراسة تحذر من الوجبات الثقيلة بعد الخامسة مساءً
بحث: الهواء النقي مصدر رائع للمغذيات.. فكيف بهواء الفجر؟
الاحتلال يعطل عمل الدفاع المدني شمالي القطاع منذ 29 يومًا
تجنبوا تناول هذه الأطعمة والمشروبات بعد عملية قص المعدة
القهوة مفيدة للبعض لكنها مميتة للبعض الآخر.. هذا هو البديل
عالم فيروسات ألماني يتوقع انتهاء جائحة كورونا قريبًا
دراسة تبين سبب تفشي كورونا في الصين
عالم ألماني...كورونا انتهت
نمط الحياة يحمي من مرض كرون والتهاب القولون
العثور على الجين المسؤول عن الحاسة السادسة لدى الإنسان
هل الحمية قليلة الكربوهيدرات صحية؟
فائدة غير متوقعة لقشر الموز.. دراسة حديثة تكشف التفاصيل
مكملات غذائية لخفض مستويات الكوليسترول المرتفعة .. من بينها الفواكه
مخاوف من موجة جديدة مدمرة .. خبراء يستبعدون نهاية كورونا
ابتكار جلد اصطناعي يعالج الحروق الشديدة
الصين: نصف مليون إصابة بكورونا يومياً في مدينة واحدة
الحمية المتوسطية أكثر أماناً للحامل
الجرعة العالية من الأدوية ضد الكولسترول تهدد العظام