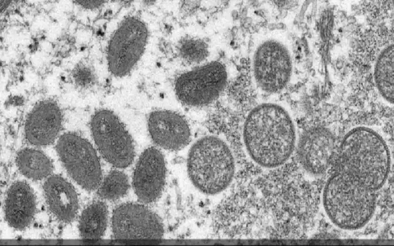
رصد أول إصابة مؤكدة بجدري القردة في إيرلندا
خبراء في الأمراض المعدية يطالبون منظمة الصحة بتحرك أسرع لاحتواء جدري القردة
أعراض تدل على أنك مصاب بـ'الإجهاد' في عملك
'الصحة العالمية': الإصابات المسجلة بجدري القردة قد تكون 'قمة جبل الجليد'
أعراض إنفلونزا الطماطم .. فيروس جديد قادم من الهند
'الصحة العالمية': يمكن احتواء جُدري القردة في إقليم شرق المتوسط
لتخزين البطاطا فترة طويلة دون أن تتعفن.. إليك هذه الحيلة الذكية
إصابات 'جدري القردة' تقترب من 100 حالة عالميا