سماع دقات القلب عبر الوسادة.. هل هي ظاهرة مثيرة للقلق؟
الذكاء الاصطناعي يشخّص السكري وسرطان المعدة من لون اللسان
مشكلة صحية تدفع ناسا إلى إلغاء مهمة فضائية
ابتكار جديد لوقاية الأسنان من التسوس .. كيف يعمل؟ ابتكار جديد لوقاية الأسنان من التسوس .. كيف يعمل؟
سرّ الرشاقة اليابانية.. 7 عادات بسيطة لفقدان الوزن دون حميات قاسية
خطة زمنية ذكية لإنقاص الوزن وضمان عدم عودته
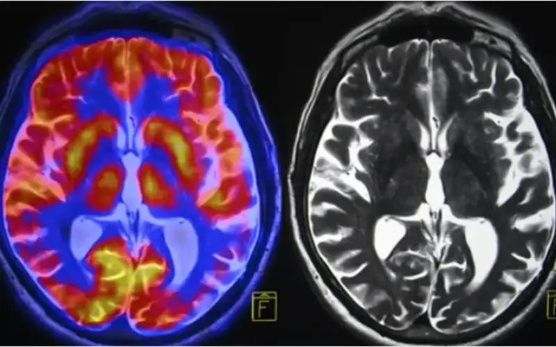
الأشخاص الأكثر نشاطاً في فترة بعد الظهر يتعرضون لخطر يهدد الدماغ
كيف تحمي طفلك من السمنة؟ الأسباب والحلول العلمية
إنفلونزا الخريف أم كورونا.. أبرز الفروق بين الفيروسين وطرق الوقاية
ابتكار أدوية 'ذكية' يتحول شكلها داخل الجسم
يوم القلب العالمي 2025.. حقائق وأرقام صادمة
إرشادات صحية تطيل عمر الناجين من سرطان البروستاتا
جهاز استنشاق ثنائي يقلل نوبات الربو لدى الأطفال بنحو النصف
تقرير: الأردن يحرز تقدماً ملموساً في مكافحة الأمراض غير السارية وتعزيز الصحة النفسية
استشاري: أمراض القلب تتصدر أسباب الوفيات في الأردن
طبيب جلدية يحذّر: 4 منتجات قد تدمر بشرتك دون أن تشعري
خبير يكشف عادات يومية لإبطاء الشيخوخة وحماية الدماغ
جراحة إطالة العظام لأسباب تجميلية.. فوائد مثيرة ومخاطر مقلقة
ما هو السبب وراء الاستيقاظ بطعم غريب في الفم؟
علاج للبكتيريا المقاومة للمضادات الحيوية
وفيات السرطان تشهد ارتفاعاً كبيراً
من الأمعاء إلى الدماغ .. الميكروبات تتحكم في نومك
مراهق يدفع آلاف الدولارات لعلاج نمو مؤقت يزول في أسبوعين
أمراض القلب لا تزال السبب الرئيسي للوفاة عالمياً